O combate à Insônia
Por Redação A insônia nada mais é do que a demora em iniciar o sono ou se manter dormindo...
Ler maisPor Redação A insônia nada mais é do que a demora em iniciar o sono ou se manter dormindo...
Ler maisPor Daniela Albuquerque Cresceu o número de pacientes no consultório de dermatologia com queixa de queda de cabelo intenso após cair...
Ler maisPor Daniela Meneses É possível pensar na vida antes e após a Covid 19. O Coronavírus ou Covid 19 é...
Ler maisPor Dr Carlos Gomes Nossa boca é repleta de bactéria e não há nada demais nisso. Pelo contrário, é normal....
Ler maisPor Dr Carlos Gomes Os primeiros dentinhos começam a cair de forma natural por volta dos 6 anos de idade, pela...
Ler maisPor Dr Carlos Gomes Os sisos, também conhecidos como terceiros molares, são o último conjunto de molares a nascer. Quando...
Ler maisPor Dr Carlos Gomes O Bruxismo é uma desordem caracterizada pelo apertar ou ranger do dentes. A pressão exercida pode...
Ler maisPor Dr Carlos Gomes Nas propagandas de creme dental sempre aparecem pessoas com os dentes incrivelmente brancos. Esses anúncios estimulam...
Ler maisPor Dr Carlos Gomes Saiba que você não está sozinho. A halitose é mais comum do que imaginamos. Segundo a...
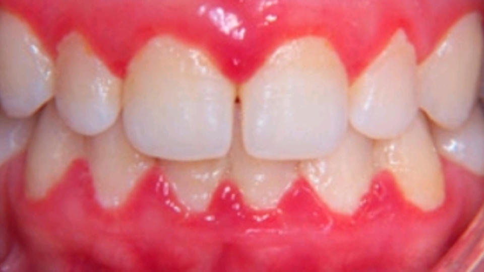
Ler maisPor Dr Carlos Gomes Muito comum entre as pessoas, o sangramento gengival é algo que muitas vezes é negligenciado. O...
Ler mais© 2024 Som de Papo - Todos os direitos reservados.
© 2024 Som de Papo - Todos os direitos reservados.